Removable Retainers

There are a few different types of retainers including removable and permanent. Each retainer has its pros and cons, but they each serve the same purpose – to keep teeth straight after braces. Depending on your case, we may recommend one of the following types of retainers:

Removable Retainers


A vacuum form retainer is a removable retainer that is clear and aesthetically pleasing vacuum form retainer (VFR) is a clear horseshoe-shaped piece of material that is intimately shaped to fit over your teeth. The benefits of VFR retainers include that they’re clear and aesthetic (great for photos!), comfortable and not as bulky as other retainers. Some patients who grind their teeth may find an issue with VFRs because they can be worn down due to repeated teeth grinding.


A Hawley retainer is a traditional retainer consisting of a plastic piece formed for your roof or floor of the mouth attached to a wire that fits over the front of your teeth. Hawley retainers are great because they are durable and we have a greater ability to make adjustments with them. For example, if a tooth or two were to shift slightly, we can sometimes adjust the wire to re-straighten the teeth. You often can’t do that with other types of retainers. Still, Hawley retainers are less aesthetic than a VFR and some patients find that talking and swallowing are more difficult when wearing them.


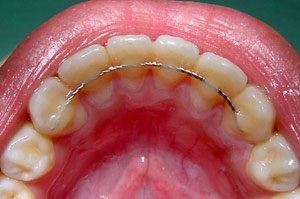
Permanent Retainers

A fixed lingual retainer consists of a wire bonded to the back side of your teeth. I typically recommend a permanent retainer if the teeth were very rotated, crowded, or had a lot of spacing between them before treatment. The great part of a fixed retainer is that it’s permanent so you don’t have to think about taking it in or out since it’s cemented to your teeth. However, fixed lingual retainers are often very difficult to clean. The lower front teeth tend to accumulate a lot of plaque and calculus over time, which can lead to further dental issues down the road. So if you do have a fixed lingual retainer, be sure to clean it carefully every day.

Another con of a permanent retainer is that they tend to be problematic and need more emergency orthodontic care than removable retainers do. If a fixed lingual retainer breaks, you have to make an appointment fairly quickly to get it fixed to avoid shifting of the teeth. Permanent retainers are indeed the most permanent type of retainers, but they’re still not foolproof! Because of this, I will often recommend a removable retainer in addition to a permanent retainer—just in case.

How Often Do You Have to Wear A Retainer?

I typically recommend that my patients wear their retainer after school and at night for two months after having their braces removed. After that, I recommend they wear their retainer every night. Remember, your teeth will stay in place only if you continue to wear your retainer as prescribed! If you don’t want to have lengthy orthodontic treatment again, then remember to wear your retainer.

Why Are Retainers Necessary?

Retainers are very important…especially if you don’t want to have braces again! Our team can align your teeth and move them where we need to, but after your braces come off we still need something in place to stabilize all that progress we made. Teeth can shift throughout your life. Any small force over time can cause small shifts in alignment and placement, and those small shifts can lead to bigger shifts. Retainers help prevent these shifts from occurring after braces are removed.

胸部丰满则为“大”,胸部扁平无料则为“小”丰胸产品。大女人光环围绕,“女神”“波霸”即使胸大无脑亦为人喜爱。而小女人只能被“女汉子”“太平公主”等雅号讥讽丰胸食物。那么温柔贤良、柔情似水终究抵不过别人D杯胸围粉嫩公主酒酿蛋。很多小女人都想丰胸成为大女人,可是该怎么丰胸呢?小女人丰胸秘籍是什么呢丰胸方法?