Dental Implants & Implant Supported Dentures

Dental Implants

People are living longer than ever, and while regular brushing, flossing, and checkups allow many of us to maintain our natural smiles for a lifetime, sometimes our teeth just can't keep up. If you've lost a tooth (or a few teeth) due to injury or disease, dental implants can rejuvenate both your smile and your oral health.

An implant is a synthetic tooth root in the shape of a post that is surgically placed into the jawbone. The “root” is usually made of titanium: the same material used in many replacement hips and knees, and a metal that is well-suited to pairing with human bone. A replacement tooth is then fixed to the post. The tooth can be either permanently attached or removable. Permanent teeth are more stable and feel more like natural teeth.

The ideal candidate for implants is a non-smoker who has good oral health, including a sufficient amount of bone in the jaw, and healthy gums with no sign of gum disease.

SINGLE OR MULTIPLE IMPLANTS

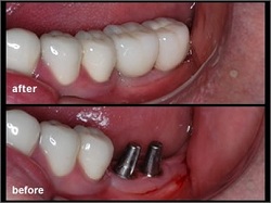
Implants are versatile. If you are only missing one tooth, one implant plus one replacement tooth will do the trick. If you are missing several teeth in a row, a few strategically placed implants can support a permanent bridge (a set of replacement teeth). Similarly, if you have lost all of your teeth, a full bridge or full denture can be permanently fixed in your mouth with a strategic number of implants.

ADVANTAGES OVER DENTURES OR BRIDGES

Conventional bridges and dentures are not fixed to the bone, and can therefore be unstable. This can make it difficult to eat or smile with confidence. Implants not only look more natural, but feel and act more like normal teeth, with a stronger biting force. And because they don't directly rely on neighboring teeth for support, implants don't compromise the health of your natural teeth. In fact, bridges are only expected to last seven to ten years, even less with root canals, whereas implants will typically last a lifetime.

POST-TREATMENT CARE

Consider your replacement teeth to be the same as natural teeth. They require the same daily brushing and flossing, and the same amount of regular checkups. Just like your natural teeth, the better you take care of your replacements, the longer they will last.

IMPLANT-SUPPORTED DENTURES

Implant-supported dentures are over-dentures fixed to the gums by root-form titantium implants within the jaws. For patients with an uncomfortable or loose-fitting denture, stabilizing it with implants can be a more comfortable and functional solution.

Implants are placed in the jaw, where they are anchored firmly in the surrounding bone. Attachments are placed in the underside of the denture that connect to the implants. When placed in the mouth, the denture snaps onto the implants, keeping it stable and secure.

WHAT ARE THE BENEFITS OF DENTURES SUPPORTED BY IMPLANTS?

  • People who opt for implant-supported dentures are more confident when they talk, laugh, and eat in public. You'll never have to worry about your false teeth slipping or falling out while you eat or are engaged in conversation.
  • Implant-supported dentures are far more comfortable because they are secure and feel like natural teeth. There is also less irritation of gum tissue; patients who have conventional dentures often suffer pain and canker sores.
  • Implant-supported dentures look more natural than conventional dentures because less plastic is needed for retention. Wearing implant-supported dentures can also help your appearance in the long term by preventing jaw shrinkage and bone loss.
  • Patients with conventional dentures have difficulty with speaking clearly. Slurred speech and clicking noises are common problems. Implant-supported dentures can help you relax and talk easily with a more clear and natural voice.
  • Best of all, with implant-supported dentures, there is no need to use denture adhesives.
胸部丰满则为“大”,胸部扁平无料则为“小”丰胸产品。大女人光环围绕,“女神”“波霸”即使胸大无脑亦为人喜爱。而小女人只能被“女汉子”“太平公主”等雅号讥讽丰胸食物。那么温柔贤良、柔情似水终究抵不过别人D杯胸围粉嫩公主酒酿蛋。很多小女人都想丰胸成为大女人,可是该怎么丰胸呢?小女人丰胸秘籍是什么呢丰胸方法?