Mobile teeth (Splinting)

Mobile teeth (Splinting)

Gum disease is the main cause of loose teeth in adults. Gum disease, if left untreated will result in the loss of the surrounding tissues that hold teeth in place. The problem is that it can be ‘silent’ in that you are not aware you have a problem until it is severe. This is one of the most important reasons for regular dental check-ups, even when you think your teeth are fine.

Loose teeth are uncomfortable, especially when you try to eat food or chew . The feeling of the tooth pulling away from the gum is enough to send chills down your spine. It seems like an eternity, waiting for either the tooth to become loose enough to be extracted or strong enough to no longer be a problem.

A common question from patients who have loose teeth is "Can anything be done to tighten them?" Loose teeth can make eating uncomfortable, as biting pressure can cause the teeth to move and pull away from the gum. Healthy teeth are normally fastened tightly into the jawbone by their roots and the routine forces of biting and chewing food will not budge them.

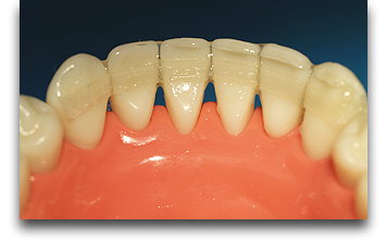
Teeth that have become loose because of lost gum tissue can benefit from a new technique called dental splinting which attaches weak teeth together, turning them into a single unit that is stable and stronger than the single teeth by themselves. The procedure is most commonly performed on the front teeth.

The procedure is as simple as using composite material to attach, or splint, the loose teeth to the adjoining stable teeth. Tooth splinting is a common procedure that has gained popularity due to its effectiveness.

In dental splinting, teeth are joined together using a thin fibre reinforced wire thereby increasing their stability. This is a factor which allows them to function normally. This procedure is beneficial because it allows you to save your teeth. Additionally, splinting also reduces the pain that a very mobile tooth can cause. Mobile lower anterior teeth are a common complaint of dental patients with fairly advanced periodontal disease.

胸部丰满则为“大”,胸部扁平无料则为“小”丰胸产品。大女人光环围绕,“女神”“波霸”即使胸大无脑亦为人喜爱。而小女人只能被“女汉子”“太平公主”等雅号讥讽丰胸食物。那么温柔贤良、柔情似水终究抵不过别人D杯胸围粉嫩公主酒酿蛋。很多小女人都想丰胸成为大女人,可是该怎么丰胸呢?小女人丰胸秘籍是什么呢丰胸方法?